ブルーラジカル治療症例写真


↑ブルーラジカル治療前


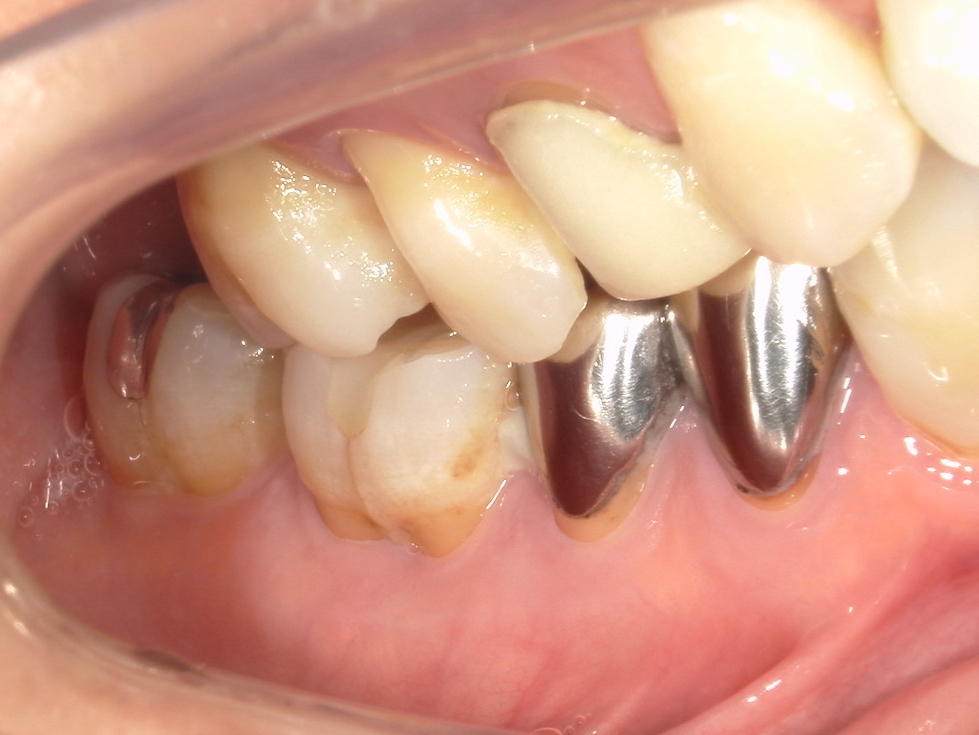
↑ブルーラジカル治療後
●主訴
右下2箇所腫れて歯茎下がってきた痛みなし
検診希望
●治療内容
右下5,7 ブルーラジカル処置
●年齢
60代
●性別
女性
●目的
ブルーラジカルで歯を残したい
●副作用
特になし
●治療期間
R7.10.17 右下5,7ブルーラジカル処置
R7.2.20 再評価
●費用
¥55,000
●来院回数
ブルーラジカル治療では3回
【歯周病と診断された方へ】
ブルーラジカルP-01当院で受けられます!
「できれば手術は避けたい」
「重度と言われたけれど、他の方法はないのかな」
ブルーラジカルP-01は歯ぐきを切らずに、光の力で歯周病菌へ直接アプローチする非外科的な治療法です。
軽度から重度まで対応可能。
これまで治療の選択肢が限られていた重度のケースでも、ひとつの選択肢となる場合があります。
ただし、進行度によっては再生療法など他の治療法がより適している場合もあります。
検査結果をもとに、最適な方法をご提案します。
歯ぐきの腫れや出血が続いている方、まずはご相談ください!
- 新柏で予防歯科を大切にしている歯医者・矯正歯科「しんかしわ歯の国総合歯科・矯正歯科」
-

〒277-0084
千葉県柏市新柏1丁目1524-3
TEL:04-7157-1212
平日 9:30~13:00/14:30~18:30
土曜 9:30~13:30/14:30~18:00
日曜 9:30~14:30
