症例写真

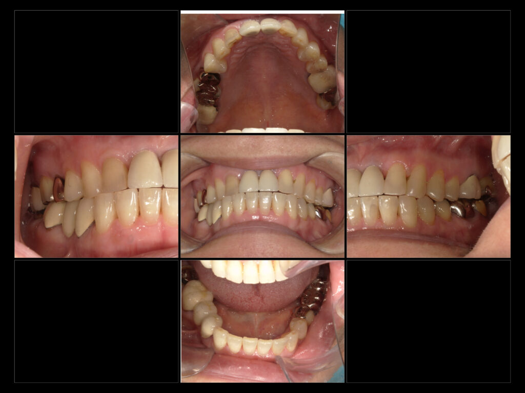
↑初診時口腔内写真

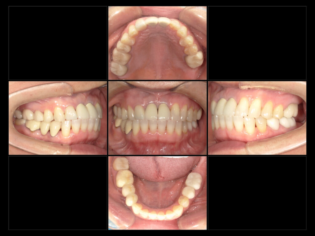
↑補綴終了時口腔内写真
●主訴
右下奥から2番目がかけて物食べると痛む
右下1番奥詰め物取れたところ放置してる
●治療内容
右上567:emaxcr
左上5:emaxIn
左上6:emaxcr
左上2:emaxcr +イージーカラー
左下56:emaxcr
右下7:emaxcr
ホワイトニング
ボトックス
●年齢
60代
●性別
女性
●副作用
特になし
●治療期間
R6.5.14〜R8.4.21
●費用
1,114,300
●来院回数
68回
セラミックで自然な色味とバランスに整えました!
噛み合わせや見た目等細かく調整しています!
見た目のお悩みもお気軽にご相談ください!
しんかしわ歯の國総合歯科・矯正歯科
- 新柏で予防歯科を大切にしている歯医者・矯正歯科「しんかしわ歯の国総合歯科・矯正歯科」
-

〒277-0084
千葉県柏市新柏1丁目1524-3
TEL:04-7157-1212
平日 9:30~13:00/14:30~18:30
土曜 9:30~13:30/14:30~18:00
日曜 9:30~14:30
