補綴症例写真|新柏の歯医者「しんかしわ歯の国総合歯科・矯正歯科」

LINE予約

Web予約

お電話でのご予約はこちら
04-7157-1212

症例

          補綴症例写真

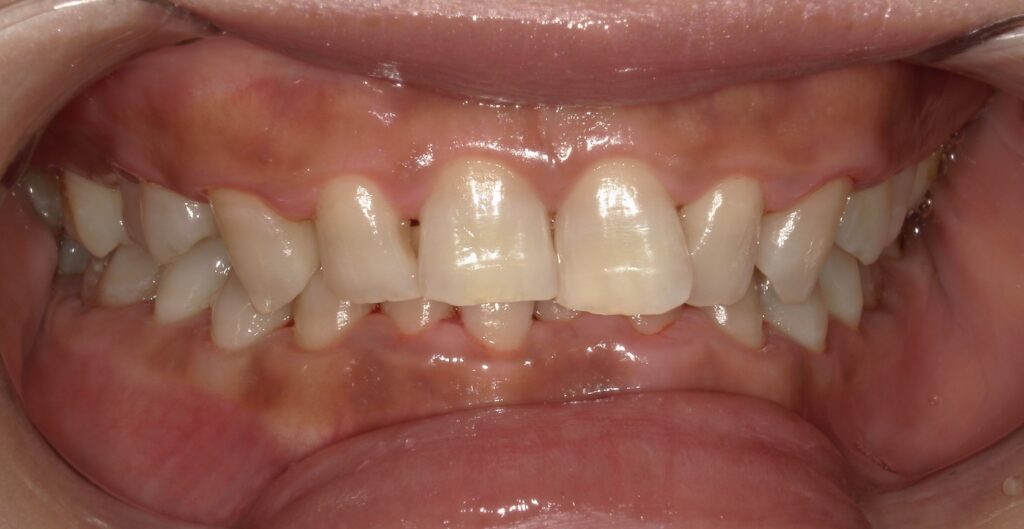
上:初診時口腔内写真

下:治療後口腔内写真

主訴

見た目をきれいにしたい

          治療内容

上顎2~2 e-maxクラウン

           年齢

32歳

           性別

女性

           目的

審美や歯並び、噛み合わせ、見た目の改善

          治療期間

1歯あたり1か月

           費用

46万(治療本数により異なる)

          来院回数

4回(形態による)

     柏市新柏駅直結の総合歯科医院

【しんかしわ歯の国総合歯科・矯正歯科】です!

本日は審美治療を終えた患者様の症例写真です

よりきれいな見た目、歯並びになり患者様も満足して帰られました!

現在はメインテナンスに通っていただきながら経過観察を追っています

当院は根本治療を掲げて、患者様のお口にあった治療をご提案させていただいております。

お口のことでなにか不安なことがありましたら、ご気軽にご相談ください。

    かしわ歯の国総合歯科・矯正歯科

千葉県柏市豊四季695‐19

TEL:04‐7189‐8801

南柏駅徒歩9分

https://www.k-hanokuni-dc.com

   しんかしわ歯の国総合歯科・矯正歯科

千葉県柏市新柏1‐1524‐3

TEL:04‐7157‐1212

https://www.shinkashiwa-hanokuni.com
新柏で予防歯科を大切にしている歯医者・矯正歯科「しんかしわ歯の国総合歯科・矯正歯科」

新柏の歯医者「しんかしわ歯の国総合歯科・矯正歯科」

〒277-0084
千葉県柏市新柏1丁目1524-3
TEL:04-7157-1212
平日 9:30~13:00/14:30~18:30
土曜 9:30~13:30/14:30~18:00
日曜 9:30~14:30