全顎症例
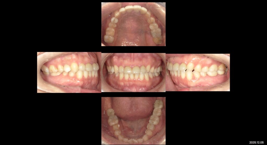
before

after

●主訴
虫歯を治したい
●治療内容
左下678 フルジルコニアBr
左下5 emaxCr
右下7 インプラント
右下6 フルジルコニアCr
右上7 フルジルコニアCr
右上6 emaxIn
右上4 インプラント
左上56 フルジルコニアCr
●年齢
40代
●性別
女性
●目的
古い被せ物を除去し予後の良い補綴物を入れ
今後の感染リスクを減らす
●副作用
仮歯期間や仮封時期がある
●治療期間
2年
●費用
135万
●来院回数63回
- 新柏で予防歯科を大切にしている歯医者・矯正歯科「しんかしわ歯の国総合歯科・矯正歯科」
-

〒277-0084
千葉県柏市新柏1丁目1524-3
TEL:04-7157-1212
平日 9:30~13:00/14:30~18:30
土曜 9:30~13:30/14:30~18:00
日曜 9:30~14:30
